대한초음파의학회 Korean Society of Ultrasound in Medicine

GNB 메뉴 보기

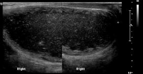
[Genitourinary [GU]] 78 /M, Slowly growing right testicle (from 5 yrs ago)
  • Myoung Seok Lee
  • 2021-03-05
Subspecialty Genitourinary [GU]
Classification Tumor
Difficulty Rare case
Modality US, CT
  • A large low echoic mass in Rt scrotum and non-visualization of normal Rt testis
  • No internal blood flow even on power doppler image
  • Homogeneous low attenuated non-enhancing Rt testicular mass on CT
Questions What is your diagnosis Go to answer
ANSWER
[Genitourinary [GU]] 78 /M, Slowly growing right testicle (from 5 yrs ago)
Questions What is your diagnosis
Diagnosis Epidermoid cyst
Answer
Comments Difficult to diagnose due to the lack of a characteristic \"onion-skin\" shape and non-visible normal testicle.
  • Filled with brown and grey-white sebaceous material. Deviated normal testicle without evidence of invasion.
References World J Mens Health. 2015 Aug; 33(2): 117?120.
Keywords Testis, Tumor, Epidermoid cyst

topBt

[04158]서울시 마포구 마포대로 53 마포트라팰리스 A동 304호
  • 사업자등록번호 : 229-82-00887
  • 대표자: 이재영

Copyright©by Korean Society of Ultrasound in Medicine