대한초음파의학회 Korean Society of Ultrasound in Medicine

GNB 메뉴 보기

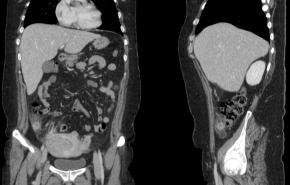
[Gastrointestinal [GI]] 40 Years/F, Right lower quadrant pain
  • 이지선
  • 2026-02-25
Subspecialty Gastrointestinal [GI]
Classification Etc
Difficulty For resident
Modality US
퀴즈 응모 기간 2026-02-25 ~ 2026-03-10
Questions What is the most likely diagnosis?
Answer
※ 개인정보의 수집 및 이용목적
대한초음파의학회는 증례토론 퀴즈 진행을 위해 개인정보를 요구하고 있습니다.
아이디, 성명, 소속을 필수입력사항으로 수집하고 있습니다.

※개인정보의 보유 및 이용기간
회원님의 개인정보는 대한초음파의학회에서 계속 보유하며 서비스 제공을 위해 이동하게 됩니다.
ANSWER
Answer Epiploic appendagitis
Comments Epiploic appendagitis is a benign and self-limiting inflammatory condition involving an epiploic appendage. On ultrasound, it typically presents as a noncompressible, oval-shaped hyperechoic mass adjacent to the colon, often surrounded by a hypoechoic rim that reflects inflammation of the visceral peritoneum. Color Doppler imaging usually demonstrates absent or minimal internal vascularity within the lesion. The adjacent bowel wall is generally normal or only mildly reactive, which helps differentiate epiploic appendagitis from acute appendicitis or diverticulitis. Laboratory inflammatory markers are often normal or only mildly elevated. Accurate recognition of these characteristic ultrasound findings can obviate unnecessary surgical intervention, as conservative management is usually sufficient. Awareness of this entity is particularly important in the evaluation of patients presenting with acute abdominal pain.
References
Keywords Right lower quadrant pain; Epiploic appendagitis

topBt

[04158]서울시 마포구 마포대로 53 마포트라팰리스 A동 304호
  • 사업자등록번호 : 229-82-00887
  • 대표자: 이재영

Copyright©by Korean Society of Ultrasound in Medicine